学びを深め、実践力を高めるさまざまな実習を行っています。
研究や実習といった3年次以降の専門的な学びにスムーズに移行できるよう、1年次の基礎から、2年次の基盤と病態、3年次の応用と臨床へと、獣医学について段階的に理解を深められるカリキュラムを設定。学生の知的好奇心を大切に、一人ひとりが前向きに学習を進められる環境を実現しています。
看護・栄養・薬剤などの幅広い知識、現場で的確な判断を下す力も獣医師に欠かせないもの。それらを培うのが3年次以降の研究や実習です。人間のメンタルから動物飼育設備まで幅広いテーマで研究に取り組み、付属動物医療センターでの実務的な経験を重ねるなかで、獣医師に必要な資質を高めることができます。
獣医師として活躍するには専門性と同様に、誠実・公正な姿勢や社会からの要望を理解する力が重要です。学科では「動物福祉学」、「獣医倫理学」などを通して獣医師に求められる生命倫理を習得。また「学外学習」はキャリアを考えるだけでなく、社会が求める獣医師の在り方を知る貴重な機会にもなるでしょう。
令和8年5月1日現在
獣医師に必要な教養を身につけるとともに、
基礎専門科目を学びます。
実習を通して、基礎獣医学の知識を
確実に身につけます。
基礎獣医学の知識を土台に、
臨床・応用獣医学を学びます。
研究室に所属します。
臨床現場での具体的な治療法や、
公衆衛生を実習で学びます。
付属動物医療センターでの
診察に参加します。
6年間の総まとめ、
卒論の提出と獣医師国家試験の
準備をします。
シェルターメディスン教育の確立に向けて2022年度からシェルターメディスン実習がスタートしました。シェルターメディスン実習では、シェルター現場の視察や事例の検討、災害時のシミュレーションなど、実践的なプログラムを実施しています。※
また、公益社団法人日本動物福祉協会との協働により、2022年から日本獣医生命科学大学に社会連携講座「シェルターメディスン講座」が設置されました。本講座は、国内初のシェルターメディスン専門研究室であり、動物福祉教育の向上、獣医学教育の発展を目的としています。
※獣医学科「学外実習(専門)」の単位として認定されます。
シェルターメディスンとは、「シェルター(動物収容施設)」と「メディスン(医学)」を組み合わせた言葉。飼い主を失った動物を保護する施設から始まった学問です。
動物たちは、シェルターにいる間に風邪や皮膚病などの病気になることがあります。従来の獣医学では飼い主が病気になった動物を連れてくる、「個体管理」という考え方が主でしたが、シェルターでは、群として管理する「群管理」が必要になってきます。個体管理とは異なる「シェルターに特化した獣医療」が必要になり、誕生した学問がシェルターメディスンです。
学びを深め、実践力を高めるさまざまな実習を行っています。
化学実習
実験器具の取扱い方法に始まり、試薬の秤量の仕方、試薬の調製法、基本的な実験操作方法等、一連の基礎実験法を身につける。
また、実験するという行為を通じて、自然科学に解析的にアプローチするための基礎力を養成する。
化学実習
生物学実習
実験器具の取り扱い、特に獣医学科の今後の実習でもよく使用する顕微鏡および解剖器具の使い方に関しては丁寧に指導するので、それらの正しい使用法は身につけられる。
スケッチ描画法およびレポート作成法は今後の実習でも必要なスキルなので、導入教育として念入りな指導を行ない、それらの習得を目指す。
生物学実習
獣医解剖学実習
動物の体の仕組みを肉眼的に観察する。各器官の機能や動物間での違いなどについて学習する。
獣医解剖学実習
獣医組織発生学実習
光学顕微鏡を用いて、動物の組織を観察し、その形態や機能について学習する。
獣医組織発生学実習
獣医生化学実習
生命現象を化学反応として捉え、分子レベルで分析・理解する知識を身につける。
獣医生化学実習
比較発達心理学実習
動物園動物行動観察および動物介在介入に必要な基礎的知識および技術を身につける。
比較発達心理学実習
獣医生理学実習
体を構成している臓器がどのように働き、どのように調節されているのかを実感を持って深く理解する。
獣医生理学実習
獣医薬理学実習
薬理学で用いる基本手技を学び、実験結果を正しく解釈することにより、薬の体内動態や作用のメカニズムを理解することができる。
獣医薬理学実習
毒性学実習
化学物質が動物や環境におよぼす有害作用の特徴や発現のメカニズムについて理解を深め、これらの毒性を評価するために必要な知識と手法を修得します。
毒性学実習
獣医微生物学実習I
病原細菌を安全に取り扱うための手法を習得し、病原細菌の培養法や染色法、基礎的な同定法を学びます。
獣医微生物学実習Ⅰ
獣医病理学実習Ⅰ・Ⅱ
病理組織診断に必要な基礎的知識を身につけ、動物の疾病の成り立ちを理解する
獣医病理学実習Ⅰ・Ⅱ
獣医病理解剖学実習
病理解剖に必要な基礎的知識および技術を身につけ、動物の疾病の成り立ちを理解する
獣医病理学実習Ⅱ
動物衛生学実習 I、Ⅲ
牧場の衛生管理および、産業動物に検査や治療を実施する上で必要となる保定や観察法に関する基本的手技を身につける(3年)
産業度物診療に必要な生体材料採材や薬物投与法を身に着ける(4年)
動物衛生学実習 I、Ⅲ
実験動物学実習
新しい薬の開発や、未だ治療法のない病気の原因や機序などの問題を理解し、生命科学の発展の上で必要とされる動物実験に関わる倫理と責任を理解した上で、動物実験が計画される際にも可能な限りその数や苦痛を無くすための知識や手技を身につける。
実験動物学実習
獣医微生物学実習II
病原微生物(細菌・ウイルス)の増殖法を知り、その特徴などを実際に観察することで、基本的な同定能力、およびその病原・血清診断法を学びます。
獣医微生物学実習Ⅱ
動物衛生学実習 II
動物衛生学講義では理解が困難な実地項目について、実習形式で理解を深める。重大家畜疾病発生を想定した机上演習および防護服の着脱についても実習する。
動物衛生学実習Ⅱ
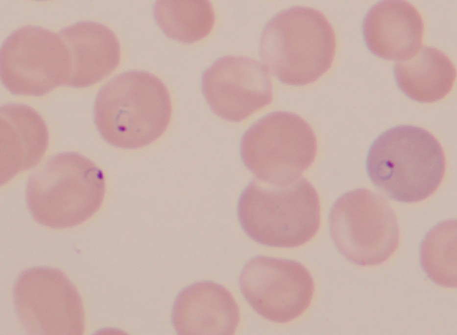
動物および公衆衛生上重要な寄生虫(病)の診断技術や検査技術を身につける。
獣医寄生虫病学実習
公衆衛生学実習I
水や大気を検査する現場で行われている試験法の原理および操作方法を修得できる。さらに、法律に基づいて水、大気などの検査を行うことにより、どのようにしてこれらの環境媒体を介して発生する人の健康被害や環境汚染を防止しているかを理解できる。
公衆衛生学実習Ⅰ(人獣共通感染症・環境衛生)
獣医内科学実習 I
動物に検査や治療を実施する上で必要となる診断法および治療法に関する基本的手技を身につける
獣医内科学実習Ⅰ(一般診断・治療)
獣医内科学実習 II
動物に検査や治療を実施する上で必要となる診断法および治療法に関する基本的手技を身につける
獣医内科学実習Ⅱ(一般診断・治療)
麻酔学実習
臨床で使用される麻酔機器および機材、および模擬症例を使用し実践的な知識と技術を習得する。
獣医外科学実習Ⅱ(麻酔学)
手術学実習
動物に対する外科的治療法を実施する上で必要な診断法および治療法に関する基本的手技。
本実習で生体を用いず、代替臓器や屠場臓器を用いて実習を行う。
獣医外科学実習Ⅰ(手術学)
獣医画像診断学実習
実際にX線撮影を行い、撮影方法や読影(画像診断)法を身につける。加えてCTやMRI等についても読影法を学習する。
獣医画像診断学実習
獣医臨床繁殖学実習Ⅰ・Ⅱ
人工授精に必要な知識や技術を身につける。
妊娠診断や分娩に必要な知識と技術を身につける。
繁殖障害や生殖器疾患の診断と治療に必要な知識と技術を身につける。
獣医臨床繁殖学実習Ⅰ・Ⅱ
産業動物臨床実習
産業動物の疾病に対する情報の収集、診断および治療を行うための基本的な手技を行うことができる。
産業動物臨床学実習
野生動物学実習
野生動物に獣医師が関わる現場を知るとともに、人と動物にとって安全面に留意した動物の扱い方や感染症対策の知識と技術を学べる。
野生動物学実習
シェルターメディスン実習
伴侶動物の群管理(集団獣医学)や動物虐待への獣医学的アプローチ(法獣医学)を通して、地域の動物福祉に関する問題に対して、獣医師の役割をシェルターメディスンの観点から必要な技術および知識を身に着ける。
学外実習(専門)
魚病学実習
魚病の診断・治療に必要な基礎的知識および技術を身につける。
魚病学実習
公衆衛生学実習II
食品に関わる現場で用いられている試験法の原理および操作方法を修得できる。さらに、法律に基づいて食品の検査を行うことにより、どのようにして食品の衛生が担保されているかを理解できる。
公衆衛生学実習II(食品衛生)
獣医臨床病理学実習
血液検査、血液化学検査、細胞診検査を総合的に理解し、適切な解釈ができるようにする。
獣医臨床病理学実習
獣医療面接実習
獣医師がクライアントと良好な人間関係・信頼関係を構築するための医療面接技術を身につける
獣医総合実習(臨床)Ⅰ
適切な問診技法
問題志向型の診断法と診療法
基本的な身体検査手技
基本的な臨床検査手技
基本的な画像診断手技
基本的な看護処置
基本的な調剤および投薬手技
基本的な鎮静、麻酔の補助手技
基本的な外科的手技
基本的な救急救命手技
獣医総合実習(臨床)Ⅲ
シラバスとは、本学で学習を進めるにあたり、自主的な履修計画の参考として作成しているものです。
日本獣医生命科学大学ポータルよりアクセスしてください。(ID・パスワードが必要です)
本学第一校舎内にある、高度な獣医療を提供する動物医療施設です。18の専門診療科を有し、年間8,600件の伴侶動物の診療を行っています。
獣医学科では、5、6年生で医療面接実習および参加型臨床実習(獣医総合実習)を行います。模擬飼主を対象に問診に関するコミュニケーションの取り方や、診療現場に参加して、問診から各種検査、さらに治療まで進める過程を学びます。
広大な富士の山麓に位置する、東京都内の大学としてアクセスの良い山梨県富士河口湖町にある大動物教育・研究施設です。牧場機能も有し、年間310トンの生乳を生産しています。
獣医学科では、2年生で牧場実習(選択)、3.4年生で動物衛生学実習(必修)を行います。付属の宿泊施設に滞在し、早朝の搾乳作業をはじめ産業動物臨床現場ならではの実習を行います。牛、馬、豚、山羊、羊など、様々な飼育動物に触れる機会を提供します。