今月の学生実習教員からのレポート

魚病学実習

魚病検査法について学びました。

開講学年
開講月日
5月19日~6月13日
担当教員

教授 和田 新平、教授 倉田 修/水族医学研究室

本実習は選択科目です。2週間の集中講義で、魚類の解剖学的特徴から始まり、病気の基本的な診断技術に至る内容を学習します。 魚病被害の多くは感染症であることから、微生物の検査手技も取り入れ、なかなか体験できない真菌類や卵菌類の培養や顕微鏡観察も行いました。

内容

  • 魚類の解剖
  • 魚類の鎮静、麻酔
  • 魚類の採血、血液検査
  • 魚類病原菌の培養、検査
  • 魚類の病理組織標本観察

感想

今年度は36名が参加しました。
さすがに5年生は動物の扱いに慣れており、初めての採血にもかかわらず、難なくこなすことができました。
関係機関の協力により、今回は4魚種(ニジマス、キンギョ、アユ、ブリ)を扱うことができ、大変有意義な実習となりました。
卒業後、受講学生には、獣医師として魚病診断にも自信を持って臨んでほしいと思います。

キンギョの鰓を検査。
キンギョの鰓を検査。
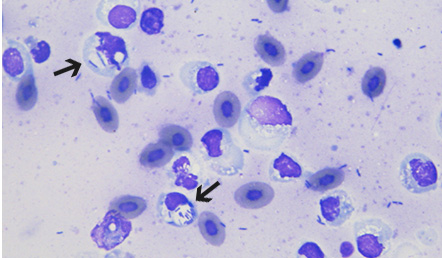
魚病細菌が繁殖した患部のスタンプ標本。細菌を貪食したマクロファージ(矢印)。
魚病細菌が繁殖した患部のスタンプ標本。細菌を貪食したマクロファージ(矢印)。
鰓に寄生していた白点虫(矢印)。
鰓に寄生していた白点虫(矢印)。

感想

今年度は36名が参加しました。
さすがに5年生は動物の扱いに慣れており、初めての採血にもかかわらず、難なくこなすことができました。
関係機関の協力により、今回は4魚種(ニジマス、キンギョ、アユ、ブリ)を扱うことができ、大変有意義な実習となりました。
卒業後、受講学生には、獣医師として魚病診断にも自信を持って臨んでほしいと思います。